علم الوراثة البشرية
|
|
|
مقدمة:
يهتم علم الوراثة البشرية بدراسة آليات انتقال الصفات
الوراثية عند الإنسان(خصوصا تلك المرتبطة بأمراض وراثية) إلا أنه يواجه عدة
صعوبات من بينها:
- عدم إخضاع الإنسان لتزاوجات موجهة.
-صعوبة
تطبيق القوانين الاحصائية نظرا لطول عمر كل
جيل بشري و ضعف الخصوبة وطول مدة الحمل.
- صعوبة التأكد من بعض الصفات الوراثية نظرا لوجود
أمراض مرتبطة بتشوهات خلقية أثناء الحمل أو الولادة.
ـ تستر بعض العائلات عن
بعض الأمراض الوراثية...
/I
بعض وسائل الدراسة:
1ـ
شجرة النسب L'arbre
généalogique
تمكن دراسة شجرات النسب من تتبع انتقال بعض الصفات
الوراثية و احتمالاتها عبر الأجيال.
تنجز حسب قواعد دقيقة متفق عليها.
- يرمز للذكور بـ □ و الإناث بـ o و تلون هذه الرموز
بالأسود
إذا كان الفرد يظهر
الصفة أو العاهة المدروسة:
- يمثل الأفراد المنتمون إلى نفس الجيل على نفس الخط
الأفقي الذي يشار إليه بعدد روماني I و II
...
- يرتب خلف الزوجين من اليسار إلى اليمين بأرقام عربية ( 1،
2 ،
3...).
مثال: الوثيقة التالية:
2 ـ
الخرائط
الصبغية Les caryotypes
يمكن تحليل الخرائط الصبغية من الكشف عن حالات الشذوذ الصبغي و
من تشخيص التشوهات المرتبطة بتغير في عدد أو بنية الصبغيات.
Auteur : Philippe COSENTINO
3 ـ
الحياءة
الجزيئية La biologie
moléculaire
- يمكن تحليل
الـ ADN من الكشف عن وجود أو غياب بعض المورثات.
-يمكن تحليل السوائل الإحيائية ( الدم،اللمف، اللعاب...)
من الكشف عن حالات النقص أو الزيادة في
بعض المواد الحيوية.
www.ens-lyon.fr/RELIE/PCR/ressources/
/II دراسة حالات وراثية مرتبطة بالجنس:
-1
الدلتونية Daltonisme
الدلتونية مرض وراثي حيث يكون الشخص غير قادر على التعرف
على بعض الألوان خصوصا الأحمر و الأخضر.
السيد X
مصاب بهذا المرض، في حين أن أمه و أخته غير مصابتين، أما أبوه و أخته الثانية
فمصابين، هذه الأخيرة لها 3
أطفال ولدين مصابين و بنت غير مصابة. السيد X
له ولدين و بنتين غير مصابين، لأم السيد X
أخ مصاب. جدي
السيد X من الأم سليمين.
-1 أنجز شجرة نسب هذه العائلة.
-2 هل الحليل المسئول عن هذا
المرض سائد أم متنحي؟ علل جوابك.
-3 إذا علمت أن هذا المرض مرتبط
بالجنس، حدد معللا جوابك الصبغي الحامل للحليل المسئول عن هذا المرض.
-4 حدد الأنماط الوراثية للسيد
X و زوجته و زوج أخته
المصابة.
-5 اعط الخلف النظري لزواج بنت
السيد X برجل سليم.
-2الناعورية
L'hémophilie
يمثل هذا المرض خللا في تجلط الدم الناتج عن افتقار لعامل
من عوامل التجلط
(عامل التجلط VIII
أوIX ).
تمثل الوثيقة التالية شجرة نسب عائلة بعض أفرادها مصابون
بالناعورية:
-1 هل الناعورية
مرتبطة بحليل سائد أم متنحي؟ علل جوابك.
-2 هل هذا الحليل مرتبط بصبغي
جنسي أم لاجنسي؟
علل جوابك.
-3
اعط الأنماط الوراثية للأفراد
I1
و I2
و II3
و II4
،
مع
تعليل الجواب.
-3مرض
الكساح المقاوم للفيتامين
Le rachitisme vitamino-resistant
يؤدي هذا المرض
إلى تشوه عظام الأطراف السفلية نتيجة نقص
في نسبة الكالسيوم بالعظام.
تمثل شجرة النسب
التالية عائلة مصابة بهذا المرض:
-1 علما أن هذا المرض مرتبط
بالجنس، حدد الصبغي المسئول عن نقل المرض. علل جوابك.
-2 هل الحليل المسئول عن هذا
المرض سائد أم متنحي؟ علل جوابك.
-3 حدد الأنماط الوراثية للأفراد
I1 و
I2 و
II3
و II4
.
-4 حدد احتمال
إنجاب خلف مصاب من
زواج III5 مع
رجل سليم.
-4صفة
وجود الزغب في الأذن L'hypertrichose
تمثل الوثيقة التالية شجرة نسب عائلة بعض أفرادها يتميزون بوجود زغب كثيف في
الأذنين.
-1 حدد الصبغي الحامل للحليل
المسئول عن هذه
الصفة.
-2 حدد النمط الوراثي للفرد
I2
/III دراسة حالات وراثية
غيرمرتبطة بالجنس:
-1
المهق albinisme
تمثل شجرة النسب
التالية عائلة مصابة بالمهق:
-1 هل الحليل المسئول عن هذا
المرض سائد أم متنحي؟ علل جوابك.
-2
حدد الصبغي المسئول عن نقل المرض. علل جوابك.
-3 حدد الأنماط الوراثية للأفراد
6 و
10 و
11
و 12
.
-4 حدد احتمال
إنجاب خلف مصاب
IV13 إذا علمت أن الأم III9
لها أب أمهق و
أن الفرد 10 مختلق الاقتران .
-2
مرض Huntington
و هو مرض نادر يظهر متأخرا في حدود 40 سنة ، و يتميز
باضطرابات حركية تعطي حركات مفاجئة و غير متناسقة ، و أيضا اضطرابات في
الذاكرة.المورثة المسئولة عن هذا المرض توجد على الزوج الصبغي الرابع.
تمثل شجرة النسب
التالية عائلة بعض أفرادها مصابون
بهذا المرض.
-1 هل هذا الحليل مرتبط بصبغي
جنسي أم لاجنسي؟علل جوابك.
-2هل هذا المرض مرتبط بحليل
سائد أم متنحي؟ علل جوابك.
-3 حدد الأنماط الوراثية للأفراد
I1 و
I2 و
II1
/IVحالات
من الشذوذ الصبغي و عواقبه:
ترتبط بعض الأمراض التي تؤثر على النمو الجسمي و العقلي
عند الإنسان بحالات من الشذوذ الصبغي، و التي يمكن أن تظهر نتيجة تغيير في
عدد أو بنية الصبغيات.
-1
الشذوذ المرتبط بتغير في
عدد الصبغيات:
-1-1
حالة
الصبغيات
اللاجنسية
-أ
المنغولية أو مرض
Down:
نسبة الى John Langdon Down
الذي وصف هذا الشذوذ سنة 1866
يتميز
المنغوليون بتأخر عقلي و قصر القامة و أصابع اليدين
وتشوهات داخلية على مستوى القلب و الأوعية الدموية و الأمعاء.
تمثل الوثيقة
التالية خريطة صبغية لشخص منغولي:
نلاحظ ان
كل الصبغيات عادية باستثناء
الصبغي 21 فهو ممثل بثلاث نماذج و بالتالي هناك
زيادة صبغي واحد في هده الخريطة الصبغية لذلك يسمى الشذوذ يثلاثي الصبغي 21 و تكون
صيغته الصبغية
2n + 1 = 45A+XY =47
ب
ـ التفسير الصبغي لمرضي
Down
ملحوظة: - هناك حالات أخرى من هذا الشذوذ الصبغي كثلاثي
الصبغي 13 و ثلاثي الصبغي
14
تؤدي الى اجهاض تلقائي للجنين
او موت في الشهور الاولى.
- يمكن تفسير هذه التشوهات الجسمية و العقلية بارتفاع
تركيز و نشاط بعض أنزيمات الإستقلاب الخلوي.
-2-1
حالة
الصبغيات
الجنسية:
-أ
مرض Turner
يتميز المصاب بشذوذ Turner
بقصر القامة وعدم نمو الصفات الجنسية الثانوية و العقم.
نسب الاسم الى
Dr.Henry Turner الذي اعطى اول وصف
لهذا الشذوذ سنة 1938 .
تمثل الوثيقة
التالية خريطة صبغية لمصاب بهذا الشذوذ.
نلاحظ ان
كل الصبغيات عادية باستثناء وجود
صبغي جنسي واحد
و هو X و بالتالي هناك نقصان صبغي واحد في هده الخريطة الصبغية و تكون صيغتها الصبغية
2n - 1 = 44A+X
=45
-ب
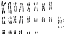
مرض Klinefelter
يتميز المصاب بشذوذ Klinefelter باجتماع الصفات الجنسية الذكرية
والأنثوية ( اتساع الورك و نمو خفيف للثديين) و بالعقم. نسب الاسم الى
Dr.Harry Klinefelter الذي اعطى اول وصف لاعراض هذا الشذوذ سنة 1942
تمثل الوثيقة
التالية خريطة صبغية لمصاب بهذا الشذوذ.
نلاحظ ان
كل الصبغيات عادية باستثناء وجود
ثلاث صبغيات جنسية XXY و بالتالي هناك زيادة صبغي واحد في
هده الخريطة الصبغية و تكون صيغتها الصبغية
2n + 1 = 44A+XXY
=47
-c
التفسير الصبغي لمرضي Turner
و Klinefelter
-2الشذوذ
المرتبط بتغير في
بنية
الصبغيات:
-1-2
مرض مواء القطط:
يعاني المصاب بهذا الشذوذ من تخلف عقلي حاد و عدة تشوهات
جسمية من أهمها تلك التي تمس الحنجرة مما يؤدي إلى إصدار صوت يشبه مواء
القطط.
تمثل الخريطة الصبغية
التالية مصاب بهذا الشذوذ.
نلاحظ
ان عدد الصبغيات عادي و لكن هناك نقصان
للذراع القصير للصبغي 5 و ضياعه لذا
فهناك شذوذ في بنية الصبغيات
و معه نقصان في الذخيرة الوراثية للفرد.
-2-2
حالات يكون الشخص فيها سليم
جسميا و عقليا:
انتقال صبغي متوازن
تمثل الوثيقة
التالية خريطة صبغية لشخص لا يعاني من أي تأخر عقلي أو جسمي.
نلاحظ
ان هناك انتقال لنموذج من الصبغي 21 و التحامه بالصبغي 14 لذا فليس
هناك تغير في الذخيرة الوراثية مما يفسر سلامة الشخص جسميا و عقليا.
و المشكل سيطرح اثناء تشكل الامشاج
خلال ظاهرة الانقسام الاختزالي حيث أن انفصال الصبغيات المتماثلة لا يتم
بطريقة متوازنة مما سيؤثر على الخلف.
-3تغيرات
اخرى في
بنية
الصبغيات:
انظر الرابط
/Vإمكانية
تشخيص الشذوذ الصبغي قبل الولادة:
-1دواعي
إجراء التشخيص القبل ولادي:
- إذا سبق للأبوين إنجاب طفل مصاب بتشوه خلقي أو شذوذ
صبغي.
- إذا كان أحد الأبوين مصابا بشذوذ صبغي، مثل
انتقال صبغي متوازن.
- إذا تجاوز عمر الأم الحامل 40
سنة لوجود احتمال كبير لإنجاب خلف ثلاثي صبغي.
-2
أهم الوسائل المعتمدة في هذا التشخيص:
-a معاينة الجنين بواسطة مسجل
موجات فوق صوتية Echographie
يعطي صورة على شاشة صغيرة.
-b
تقنية الرصد الجنيني Embryoscopie
بواسطة نظام عدسي يدخل عبر عنق الرحم.
-c
اقتطاع عينات من الأنسجة الحميلية (أخذ خلايا من السائل السلوي أو من الغشاء
الخارجي) قصد إجراء خريطة صبغية و تحليلها.
|
|
-1شجرة نسب هذه العائلة
2ـ
لاحظ أن ابوين
سليمين و أنجيوا اطفالا مصابين اذن فالحليل المسؤول عن المرض متنحي
و نرمز له بـ
d
-3بما ان
هناك انثى مصابة
فلايمكن للحليل أن يكون محمولا
على الصبغي Y و بالتالي فهو محمول على X
-4 الأنماط الوراثية
ـ السيد
x
: نمطه XdY لانه رجل
مريض
ـ زوجته : XDXD
الاكثر احتمالا نظرا لانجابها لخلف سلبم رغم ان زوجها يحمل الحليل المسؤول
عن المرض
ـ زوج اخته المصابة:
XDY لانه انجب بنت سليمة رغم ان زوجته تحمل الحليل المسؤول عن المرض
فقط
-5 الخلف النظري لزواج بنت
السيد X برجل سليم.
XDXd
x XDY
1/4XDXD + 1/4XDXd
+1/4XDY + 1/4XdY
1ـ
لاحظ أن الابوين
I1
و I2
سليمين و أنجيوا اطفالا مصابين II3
و II8
اذن فالحليل المسؤول عن المرض متنحي
و نرمز له بـ h
-2 بما ان المرض يصيب الذكور فقط
فان الحليل المسؤول عن المرض مرتبط بالجنس اي محمول على صبغيات جنسية، و
بما ان الفرد II3
مصاب و ابوه سليم فلايمكن للحليل أن يكون محمولا
على الصبغي Y و بالتالي فهو محمول على X
.
-3الأنماط الوراثية للأفراد
|
|
II4 --
XHXh ou -- XHXH
|
II3
-- XhY
|
I2
-- XHY
|
I1
-- XHXh
|
|
امرأة سليمة
و امها مختلفة الاقتران و لا نعرف خلفها
|
ذكر
مصاب
|
رجل سليم
|
امرأة سليمة و لها
ولد مصاب
|
|
-1 بما ان
هناك اناث مصابات
فلايمكن للحليل أن يكون محمولا
على الصبغي Y و بالتالي فهو محمول على X
-2 نلاحظ أن الانثى II3
مريضة و اعطت ولدا سليما III6
أي انها تحمل الحليل السليم فهي اذن مختلفة
الاقتران و بما ان مظهرها مريض فالحليل
المسئول عن هذا المرض سائد و نرمز له بـ M
-3الأنماط الوراثية للأفراد
|
|
II4 --
XmY
رجل سليم
|
II3
-- XMXm
امرأة
مصابة و لها ولد سليم
|
I2
-- XmXm
امرأة سليمة
|
I1
-- XMY
رجل
مصاب
|
|
-4
الانثى III5
مريضة و ابوها سليم فهي اذن مختلفة الاقتران و
نمطها الوراثي XMXm و زواجها برجل سليم نمطه
الوراثي XmY
سيعطي حسب شبكة التزاوج
|
|
1/2 Xm
|
1/2 Y
|
|
|
1/2 Xm
|
1/4 XmXm | 1/4 XmY |
|
1/2 XM
|
1/4 XMXm
|
1/4 XMY |
اذن
احتمال إنجاب خلف مصاب من هذا الزواج هو 50%
-1 الصبغي الحامل للحليل
المسئول عن هذه
الصفة هو Y بما ان
جميع الذكور المنحدرين من رجل يحمل هذه الصفة يحملونها أيضا.
-2 النمط الوراثي للفرد
I2 هو
XYh
لا يمكننا ان نتكلم في هذه الحالة عن السيادة او
التنحي لان الذكور لا يحملون الا حليلا واحدا فقط
1ـ
لاحظ أن ابوين
سليمين و أنجيوا اطفالا مصابين اذن فالحليل المسؤول عن المرض متنحي
و نرمز له بـ
a
-2 اولا لا يمكن ان يكون محمولا
على Y بما ان هناك انثى مصابة و بما ان المرض
متنحي فلو افترضا انه محمول على X فسيكون نمط
الانثى 11 هو XaXa
اي انها ستأخذ حليلا من الاب الذي يجب ان بكون مريضا ، و حيث انه سليم قلا يمكن للحليل أن يكون محمولا
على X و بالتالي فهو محمول على صبغيات لاجنسية
-3الأنماط الوراثية للأفراد
6 = Aa
10 = Aa ou AA
11 = aa
12 = aa
-4 احتمال
إنجاب خلف مصاب
IV13
الأم III9
لها أب أمهق
اذن فهي مختلفة الاقتران Aa
و نمظ الاب
10 هو
Aa
Aa x
Aa
1/4AA + 1/2Aa + 1/4aa
اذن
الاحتمال هو
1/4
1ـ بما أن
المورثة المسئولة عن هذا المرض توجد على الزوج الصبغي
الرابع اذن فهي غير مرتبطة بالجنس.
-2 بما ان المرض
يظهر في جميع الاجيال فالحليل المسؤول عنه سائد(الاكثر
احتمالا)




0 commentaires:
Enregistrer un commentaire